TODAY DENTALCLINIC

안녕하세요
오늘안치과입니다

많은 연예인들의 라미네이트 치료를 담당했던
대표 원장님이 청담, 압구정에서 광주로 이전하여
직접 진료해 드리고 있습니다.

구강악안면외과 전문의 대표 원장 직접 진료
정직하고 진실된, 과잉 진단없는 치료 지향
자연치 보존을 1순위로 추구
체계적인 진료가
안정적인 결과를 가져옵니다.

오늘안치과 진료소개

치아에 해가 없는 치료를 이념으로
과잉진료 없이 올바른 치료를 통해
치아의 건강과 아름다움을 모두 지켜드리겠습니다.

임플란트

임플란트, 어렵다는 것은 옛날 말입니다.
자연치를 최대한 살리는 것이 목표이지만
이미 기능을 모두 상실한 상태라면
원래의 기능을 그대로 구현할 수 있는
임플란트를 심는것이 선택할 수 있는
마지막 방법입니다.

mobile background
당신이 꿈꾸던 그 미소,
라미네이트로 이제 현실이 됩니다

라미네이트

위 조건에 해당되어 지금까지
위축된 하루를 보내셨다면,

오늘안치과의 라미네이트로
당당한 미소 되찾아 보세요!

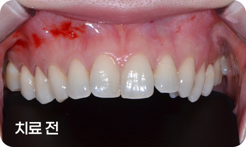
라미네이트 치료후기

치료기간 : 2021년 10월 5일 - 6일
오늘안치과 실제 환자이자 직원

치료 전후의 사진은 동일 인물과 동일한 조건에서 촬영되었으며, 모든 수술 및 시술은 개인에 따라 부작용이 동반될 수 있으므로 의료진과 충분히 상의 후 신중하게 결정하시기를 바랍니다.

치아에 해가 없는 치료를 이념으로 과잉진료 없이 올바른 치료를 통해 치아의 건강과 아름다움을 모두 지켜드리겠습니다.
윤갑희 대표원장

전남대학교 치과대학 및 대학원 졸업

전남대학교 치의학 박사

전남대학교치과병원 구강악안면외과 수료

전남대학교치과병원 외래교수

송원대학교 치위생과 임상교수 역임


구강악안면외과전문의 (보건복지부 인증)

대학구강악안면외과학회(KAOMS) 정회원

대학악안면성형재건외과학회 (KAMPRS) 정회원

대한치과마취과학회 (KDSA) 정회원

대한구강악안면임플란트학회 (KAOMI) 이사

대한인공치아골유착학회 (KAO) 이사

오스템임플란트 MASTER COURSE FACULTY


TOHOKU UNIVERSITY (JAPAN) EXTERNALSHIP CERTIFICATE

AOCMF COURSE - PRINCIPLES IN CRANIOMAXILLOFACIAL

FRACTURE MANAGEMENT

POSTER PRESENTER OF AAOMS ANNUAL MEETING IN CONJUNCTION WITH

THE JSOMS & KAOMS IN HAWAII

ESSENTIAL EDUCATION AND TRAINING PROGRAM OF

THE CADAVER WORKSHOP

STUDY CLUB OF PERIODONTOLOGY AND IMPLANTOLOGY CERTIFICATE

TIGGLE ORTHODONTIC SEMINAR CERTIFICATE


前)오늘안치과 압구정점 원장

現) 오늘안치과 대표원장

광주광역시 치과의사협회 이사

허강영 원장

치과 보존과 전문의 (제 883 호)

대한 치과 보존과 인정의

조선대학교 치과 병원 인턴 및 레지던트

조선대학교 치과 대학 석사 졸업

서울대학교 치의학 대학원 치의학 교육 연수원

Principles of periodontal & Implant Surgery 6기 과정 수료

턱관절 장애 연수회 수료

국군 대전 병원 보존과장 및 임플란트 클리닉 과장

조선대학교 치과대학 외래교수 

사랑니

방치할수록 잇몸 손상 위험


사랑니를 오랜기간 방치하면 
잇몸 조직이 손상되고,
절개 발치 시 회복이 어려워질 수 있습니다.

빠른 발치가 회복을 좌우합니다.
초기증상이 없어도 조기 진단과
치료가 중요합니다.

사랑니로 인한 통증 두려워 마세요.
편안한 환경에서 안전하게 발치 받으세요

임플란트

임플란트, 어렵다는 것은 옛날 말입니다.

자연치를 최대한 살리는 것이 오늘안치과의 목표이지만, 이미 기능을 모두 상실한 상태라면
원래의 기능을 그대로 구현할 수 있는 임플란트를 심는 것이 우리가 선택할 수 있는 마지막 방법입니다.


당신이 꿈꾸던 그 미소, 라미네이트로 이제 현실이 됩니다.

라미네이트

위 조건에 해당되어 지금까지 위축된 하루하루를 보내셨다면,
오늘안치과의 라미네이트로 당당한 미소 되찾아 보세요!

라미네이트 치료후기

치료기간 : 2021년 10월 5일 - 6일
오늘안치과 실제 환자이자 직원
치료 전후의 사진은 동일 인물과 동일한 조건에서 촬영되었으며, 모든 수술 및 시술은 개인에 따라 부작용이 동반될 수 있으므로
의료진과 충분히 상의 후 신중하게 결정하시기를 바랍니다.

사랑니

사랑니로 인한 통증
두려워 마세요.
편안한 환경에서
안전하게 발치받으세요.
방치할수록 잇몸 손상 위험

사랑니를 오랜 기간 방치하면 잇몸 조직이 손상되고, 절개 발치 시 회복이 어려워질 수 있습니다.
빠른 발치가 회복을 좌우합니다. 초기 증상이 없어도 조기 진단과 치료가 중요합니다.

치아교정

아직도 '오랜기간' 소요되는
'메탈교정'만 생각하시나요?


오늘안치과에서 나에게 맞는 옵션을 선택하여
쾌적하게 교정 치료를 받아보세요 !

치아교정

아직도 '오랜 기간' 소요되는 '메탈 교정'만 생각하시나요?
오늘안치과에서 나에게 맞는 옵션을 선택하여 쾌적하게 교정 치료 받아보세요!

오늘안치과 내부시설

오늘안치과 진료안내

진료시간
평       일
09:30 - 18:30
화  요  일
09:30 - 20:30 (야간진료)
토  요  일
09:30 - 13:00
점심시간
12:30 - 14:00
예약전화
         062 • 229 • 2875
오늘안치과의원ㅣ 윤갑희 ㅣ 광주 서구 월드컵4강로 65 5층 오늘안치과 ㅣ 전화번호: 062-229-2875

TODAY DENTALCLINIC

오늘안치과 진료안내

진료시간

평       일
09:30 - 18:30
화  요  일
09:30 - 20:30 (야간진료)
토  요  일
09:30 - 13:00
점심시간
12:30 - 14:00
오늘안치과의원ㅣ 윤갑희
광주 서구 월드컵4강로 65 5층 오늘안치과
TEL : 062-229-2875